IHMC Public Cmaps

        VETE UCL 1381_ 2019-2020
            Abiotrophie cérebelleuse Gr 6
                VRAIE version définitive groupe 6
                    Images
                    Diagnostic

                        neuro
                        Diff taille cervelet Lab.png
                        ELECTROPH.png
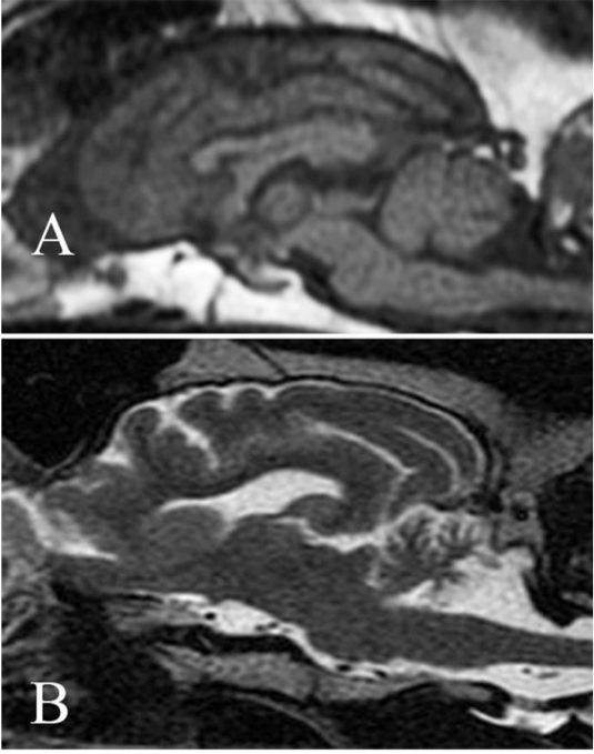
                        IRM CN cerv.png
                        PCR-steps.png
                        pcr temps réel.png
                        SYBR green.jpg
                        Taqman.jpg
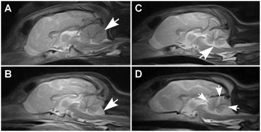
                        UCDavis dog MRI.jpg