IHMC Public Cmaps

        VETE UCL 1381_ 2019-2020
            Abiotrophie cérebelleuse Gr 6
                VRAIE version définitive groupe 6
                Images

                    Diagnostic
                    gene
                    Histo
                    Picto + Races
                    ADN.jpg
                    aff-eff.png
                    caducé.png
                    cerebellum.jpg
                    Cervelet CN.jpg
                    Cervelet CN coupe.png
                    cervelet vor.png
                    Cortex cerebelleux schéma.png
                    CP.jpg
                    CP intro.jpg
                    histogénèse.png
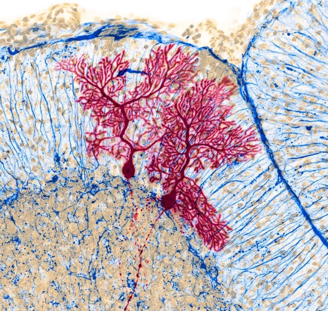
                    Image cellules cervelet.png
                    Image cervelet modifié.jpg
                    loupe.png
                    menace 2.png
                    Situation cervelet.png
                    VOR.png