IHMC Public Cmaps

        VETE UCL 1381_ 2019-2020
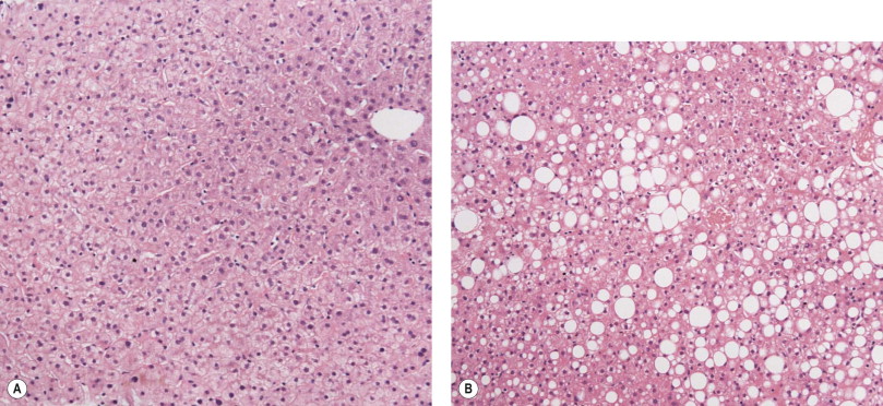
            Stéatose hépatique
            Ressources pour Introduction

                Ressources pour Stéatose physiologique
                3-s2.0-B9780702031311000080-f008-003ab-9780702031311.jpg
                Métabolisme des lipides.cmap
                Origine et facteurs d'influence.cmap
                Stéatose hépatique chez le bovin.cmap
                Stéatose hépatique chez le chat.cmap
                Stéatose physiologique.cmap