IHMC Public Cmaps

        VETE 1381_2015-2016
            Tuberculose
                Infection
                Ressources pour Tuberculose primaire FINALE

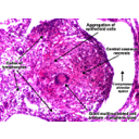
                    granulome schéma.png
                    Photo granulome annoté.jpg