IHMC Public Cmaps

        VETE 1381_2015-2016
            Tuberculose
            Infection

                Ressources pour InfectionFINAL.cmap
                Ressources pour Tuberculose primaire FINALE
                cytokines ok.png
                granuloma giant cells.png
                granulome schéma.png
                Infection.cmap.cmap
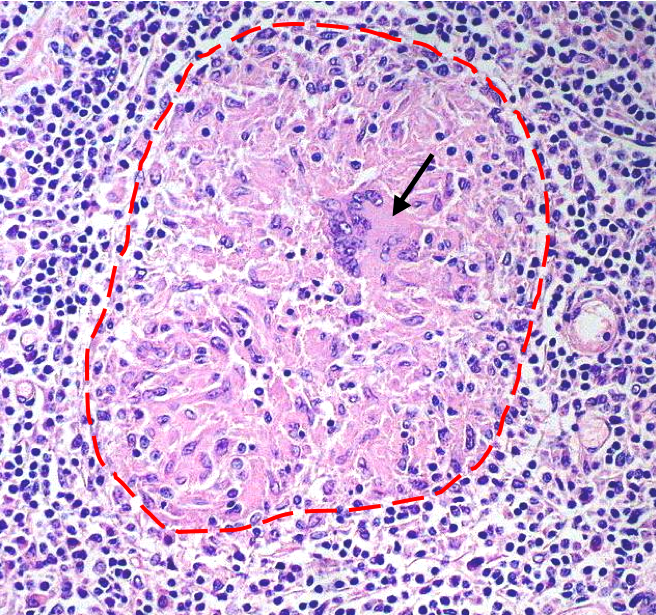
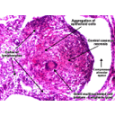
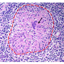
                Photo Granulome annoté.jpg
                Sans titre ok.png
                Tuberculose primaire.cmap