IHMC Public Cmaps

        VETE 1381_2015-2016
            Tuberculose
                brouillon
                Ressources pour Symptômes lésions. brouillon

                    Foie tuberculeux.jpg
                    Lésion cutané.jpg
                    Lupus tuberculeux.jpg
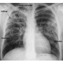
                    Radiographie pulmonaire.jpg
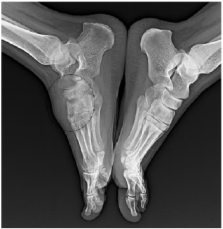
                    Radio tuberculose osseuse.png