IHMC Public Cmaps

        VETE 1381_2015-2016
            Tuberculose
            brouillon

                Ressources pour Symptômes lésions. brouillon
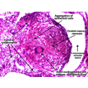
                Granulome annoté.jpg
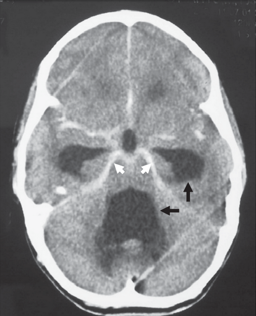
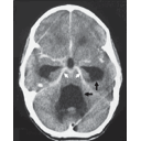
                Méningite tuberculeuse.png
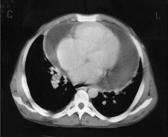
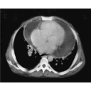
                péricardite tuberculeuse.png
                RATE.gif
                Symptômes lésions.cmap
                TB miliaire.png
                Tuberculose génitale femelle.png
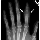
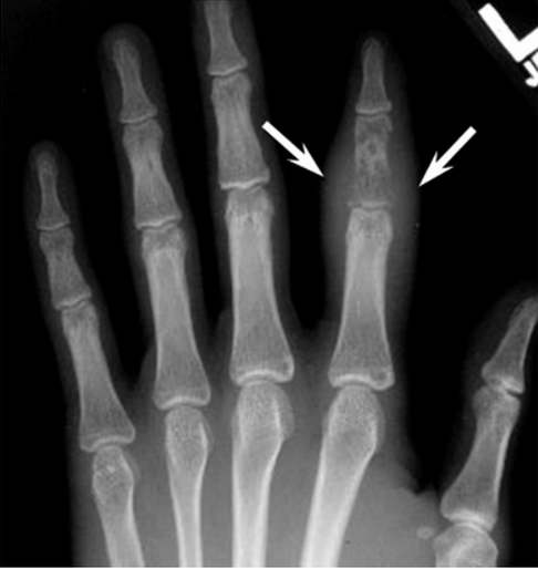
                tuberculose osseuse.png