IHMC Public Cmaps

        VETE 1381_2015-2016
            Tuberculose
                Diagnostic
                Ressources pour Diagnostic numéro 2

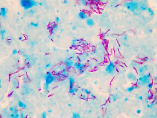
                    Bacille tuberculeux.jpg
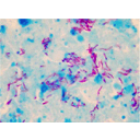
                    Bacille tuberculeux Auramine.jpg
                    Choix IDC IDS.png
                    Comparaison IDC et IDS.docx
                    Foie tuberculeux.jpg
                    Foie tuberculose aviaire.jpg
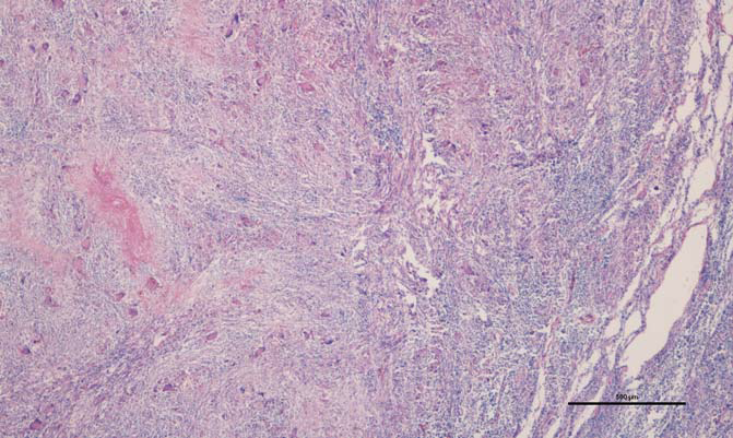
                    Granulome histologie.png
                    hypersensibilité retardée.png
                    IDC.png
                    IDS.png
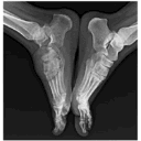
                    IRM tuberculose osseuse.png
                    Lésion cutané.jpg
                    Lupus tuberculeux.jpg
                    Noeuds lymphatique pulmonaire, nodules caséeux.png
                    Poumons et trachée.png
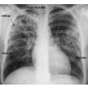
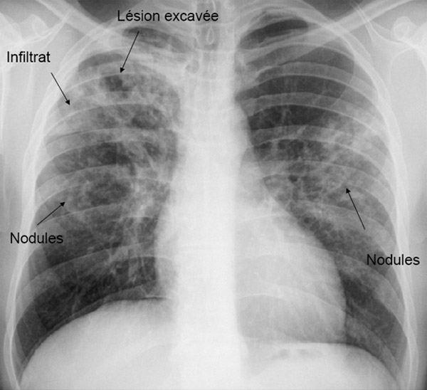
                    Radiographie pulmonaire.jpg
                    Résultats IDC.png
                    Tuberculose miliaire plèvre.png