WARNING:
JavaScript is turned OFF. None of the links on this concept map will
work until it is reactivated.
If you need help turning JavaScript On, click here.
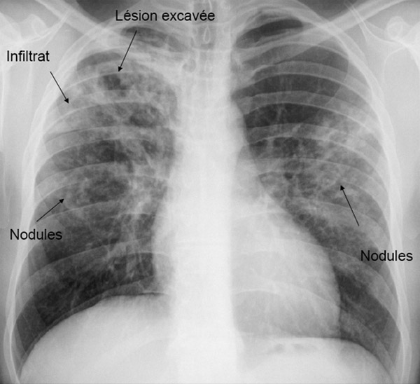
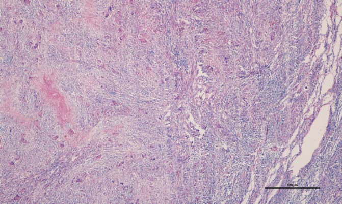
Cette carte de concepts créée avec IHMC CmapTools traite de: Diagnostic numéro 2, M. bovis est Fiable mais long, Intradermotuberculinisation chez Bovins, tuberculose miliaire on observe lésions anciennes caséeuses et tubercules gris, Prélevements au niveau du Tractus respiratoire, Tuberculose génitale on peut observer Epididymite chez l’homme Salpingite subaiguë ou/et péritonite chez la femme, Tuberculose chronique d'organes on observe tuberculose pommelière: lésions nodulaires volumineuses, Volailles On peut observer Pseudo-tuberculose, Bovins si Généralisation précoce rapide, Généralisation précoce rapide si Tuberculose miliaire aigüe, Volailles si positif à TB, test à l'interféron gamma a une spécificité inférieure à IDT, Volaille injection 0.05 à 0.1 mL de tuberculine de m.avium, bonne sensibilité environs 80% sur ADN, positif à TB prélevement d'organes et de noeuds lymphatiques, Prélévements pour faire PCR, Pseudo-tuberculose avec tubercules du foie et de la rate au même stade d'avolution 1-2mm non saillants blanchâtres, Tuberculose hépatique avec parfois calcification, Généralisation précoce rapide si Tuberculose exsudative, Tuberculose extra-pulmonaire comme Tuberculose cutanée, Leucose lymphoïde avec foie et rate hypertrophiés travées blanchâtres absence de caséification parfois reins et ovaires touchés