IHMC Public Cmaps

        VETE 1381_2015-2016
            Tuberculose
                Aspects cliniques
                Ressources pour Symptômes lésions.cmap.cmap

                    Calcification d'un noeuds lymphoïde.png
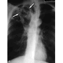
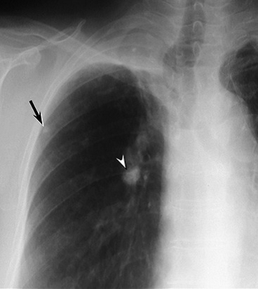
                    cavitation.png
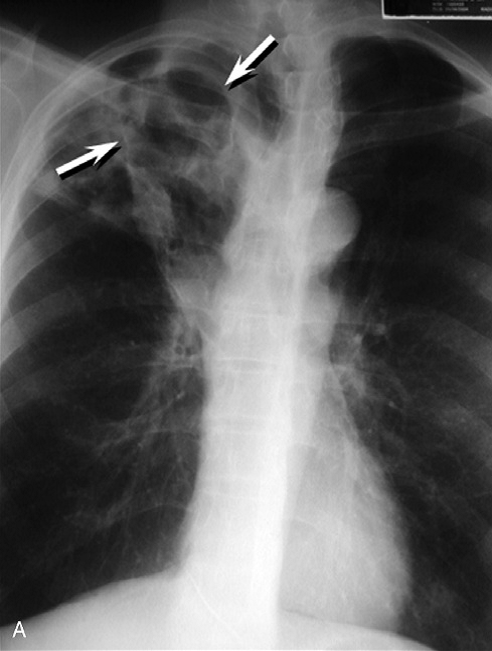
                    Cavitation radio.png
                    Noeuds lymphatique gros obstruction.png
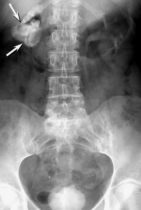
                    Rein.png
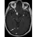
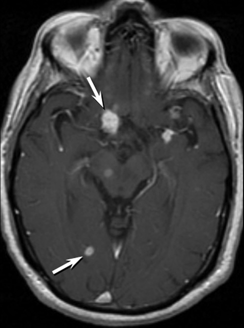
                    SNC.png
                    TB miliaire.png