WARNING:
JavaScript is turned OFF. None of the links on this concept map will
work until it is reactivated.
If you need help turning JavaScript On, click here.
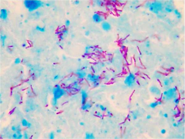
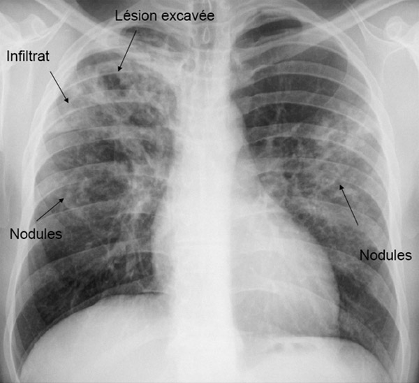
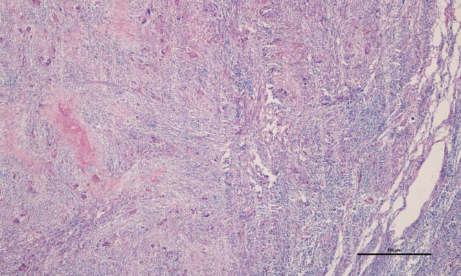
Cette carte de concepts créée avec IHMC CmapTools traite de: Diagnostic, Tuberculose urinaire on peut observer Cystite Hématurie microscopique Leucocyturie aseptique, m.Tuberculosis utilisation de glycérol (LOEWENSTEIN-JENSEN), Volailles On peut observer Aspergillose, tuberculose miliaire on observe lésions anciennes caséeuses et tubercules gris, test à l'interféron gamma est rapide, Primo-infection stabilisée on observe tubercules caséeux arrondis, jaunâtres de quelques mm Noeuds lymphatiques caséeux, Intradermotuberculinisation chez Homme, Nécropsique chez Bovins, Bovins si Généralisation précoce lente, Tuberculose extra-pulmonaire comme Tuberculose génitale, Aspergillose avec pseudo-tubercules jaunes caséeux lésions exclusivement pulmonaires, Prélevements de liquide pleural, Nécropsique si suspicion de TB prélevement des noeuds lymphatiques et des organes, tuberculose pulmonaire on peut observer signes cutanés, Intradermotuberculinisation grâce à des tuberculines, 3 mois si négatif, signes fonctionnels et généraux comme fièvre, Bovins si Primo-infection stabilisée, Hématoxyline-Eosine montrent Cellules de Langerhans, Tuberculose extra-pulmonaire comme Tuberculose cutanée