IHMC Public Cmaps

        VETE UCL 1381_2014
            g3 mue
                Groupe 3 la mue
                phase du poil

                    cmapthumbs
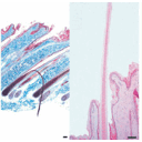
                    Phase anagène photo
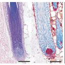
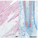
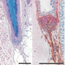
                    Phase catagéne photo
                    Phase télogene photo
                    sous carte
                    Anagéne II.png
                    Anagéne IIIB.jpg
                    Anagéne IIIC.jpg
                    Anagéne IV.jpg
                    Anagéne V.jpg
                    Anagéne VI.jpg
                    catagéne I et II.cmap
                    Catagene II.jpg
                    Catagéne III.jpg
                    Catagéne III et IV refait.cmap
                    Catagene IV.jpg
                    Catagene V.jpg
                    catagéne V a VIII.cmap
                    Catagene VI.jpg
                    Catagéne VII.jpg
                    Catagene VIII.jpg
                    Catagéne VIII.cmap
                    cycle du poil carte fini.cmap
                    Histo Catagene V.jpg
                    Histo Catagene VI.jpg
                    Histo catagéne VII.jpg
                    histo catagene VIII.jpg
                    Histologie VI.jpg
                    histologique catagéne.jpg
                    Histologique catagene III.jpg
                    Histologique catagene IV.jpg
                    Histo telogene.jpg
                    Histo télogene.jpg
                    image.png
                    image.jpg
                    initiation d'un nouveau cycle.cmap
                    mésa anagéne.cmap
                    Mété anagéne.cmap
                    Pré pro anagéne.cmap
                    pro anagéne.cmap
                    Pro Anagéne.jpg
                    Telogéne.cmap
                    Télogéne.jpg