IHMC Public Cmaps

        khonerzubentrup
            HEAL-X
                Viruses
                Viral Diagnostics

                    AdV EM.png
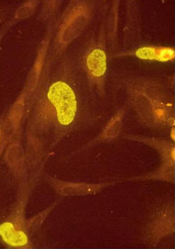
                    CMV IF.png
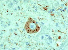
                    cmv-inclusion-bodies-09g0036_lores.jpg
                    Dengue-Virus-NS1-glycoprotein-Primary-antibodies-ab41616-1.jpg
                    ELISAFormats575x214.jpg
                    hemagglutination.jpg
                    hivposblots.jpg
                    IgG and IgM.png
                    immunofluorescence_flu.jpg
                    infected_neuronal.jpg
                    Negri_body.jpg
                    paramyxo EM.png
                    PCR.jpg
                    rotavirus EM.png
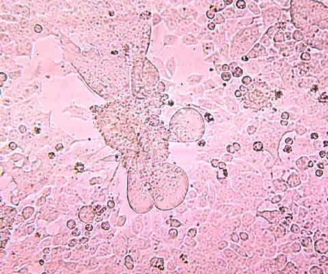
                    RSV syncitial.jpg
                    versant-bdna-signal-amplification-assay-posted-09-27-2011.jpg
                    Viral diagnosis cmap HEALX presentation.cmap
                    Viral diagnosis HEALX.cmap