Warning:
JavaScript is turned OFF. None of the links on this page will work until it is reactivated.
If you need help turning JavaScript On, click here.
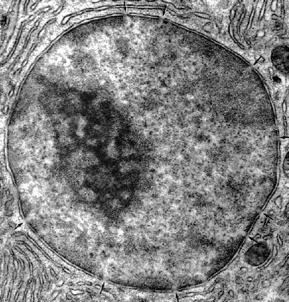
Este Cmap, tiene información relacionada con: el nucleo celular, PARTES DEL NUCLEO Son MEMBRANA NUCLEAR, PARTES DEL NUCLEO Son CROMATINA, EL NUCLEO CELULAR está compuesto por PARTES DEL NUCLEO, MEIOSIS que sirve para La producción de gametos (Óvulos y espermatozoides) GAMETOGÉNESIS, CROMOSOMAS organismos o células reproductoras con cromosomas impares HAPLOIDES, CROMOSOMAS Oganismos con cromosomas por parejas DIPLOIDES, EL NUCLEO CELULAR Se puede dividir mediante dos procesos MEIOSIS, MITOSIS Que sirve para la regeneración y crecimiento de tejidos, CROMATINA Cuando la célula se va a dividir forma los CROMOSOMAS, EL NUCLEO CELULAR Se puede dividir mediante dos procesos MITOSIS, PARTES DEL NUCLEO Son NUCLEOLO