Warning:
JavaScript is turned OFF. None of the links on this page will work until it is reactivated.
If you need help turning JavaScript On, click here.
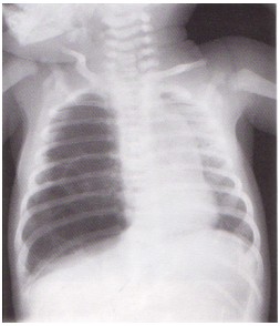
This Concept Map has information related to: meconium Aspiration syndrome, Cord Compression Signs palpable Cord prolapse into vaginal canal Late Decelerations of FHR, Fetal Hypoxia Causes of Cord Compression, Effects on newborn Mechanical obstruction of outflow- alveolar distention Secondary bacterial pneumonia pulmonary Hypertension inactivation of surfactant-atelectasis Severe respiratory acidosis Severe hypoxia, Post partum Nursing responsibilities ???? -Provide chest physiotherapy to assist with drainage and loosening of secretions -Administer prophylactic Antibiotics -Infuse bicarbonate to combat respiratory acidosis -Maintain adequate O2 and ventilation, Fetal Hypoxia Causes of Head compression from uterine contraction pressure, The normal physiological result of asphyxia is an increase in intestinal peristalsis and relaxation of sphincters MSF of the 13% of close to term who experience MSF, 5% develop meconium aspiration Syndrome MAS, -Provide chest physiotherapy to assist with drainage and loosening of secretions -Administer prophylactic Antibiotics -Infuse bicarbonate to combat respiratory acidosis -Maintain adequate O2 and ventilation Evaluation 1.Identify Newborns at risk for MAS. 2.Newborn free of respiratory distress and metabolic alterations. 3.Parents verballize concerns and understanding of rationale for management of newborn., When Head is born immediately suction naso and oropharynx *1 Infant active no further resuscitation needed dry baby and give to mother, Bradycardia Decreased FHR variability MSF indication for Emergency Cesarean Delivery, Cyanosis Bradycardia Barrel Shaped Chest X-ray with assymetrical Density ???? Post partum Nursing responsibilities