IHMC Public Cmaps

        Espiral
            Estiu2006
                Valles
                Recursos para Exercicifinal2006

                    cèl·lula animal.jpg
                    Cèl·lula procariota i cèl·lula eucariota.url
                    cèl·lula vegetal.jpg
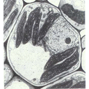
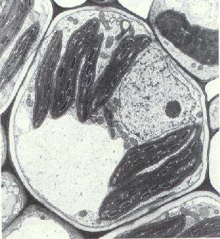
                    mitocondri.jpg
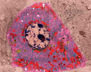
                    nucli.jpg